Behandlungsbeispiele
01 Frühbehandlung eines Distalbisses
Alter des Patienten:
4 1/2 Jahre bei Behandlungsbeginn
5 1/2 Jahre bei Behandlungsende
5 1/2 Jahre bei Behandlungsende
Behandlungsmethoden:
Aktivator (funktionelles herausnehmbares Gerät)
Komplikationen:
Bei Behandlungsbeginn ständig offene Mundhaltung, Mundatmer, Einbisse der Oberkieferzähne in die Unterlippe
Behandlungsverlauf:
Mit zwei modifizierten, offenen Aktivatoren wurde binnen Jahresfrist eine Vorverlagerung des Unterkiefers um ca. 8 mm und eine Ausformung der Zahnbögen erzielt. Die beiden Aktivatoren wurde 14 -16 Stunden (Nachmittags und Nacht) an den Werktagen und ganztägig (ca. 22h) an den Wochenenden und im Urlaub getragen. Kontrolltermine in unserer Praxis erfolgten aller 6 bis 8 Wochen.
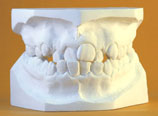
Anfangsabdruck:



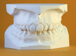
Schlussabdruck:




02 Progonie mit Extraktion
Alter des Patienten:
12 Jahre bei Behandlungsbeginn
14 1/2 Jahre bei Behandlungsende
14 1/2 Jahre bei Behandlungsende
Behandlungsmethoden:
Normale feste Spange (Multibracket/Multibandapparatur), Miniplastschienen
Komplikationen:
Bei Behandlungsbeginn Hemmung im Oberkiefer bei noch laufendem überschießenden Wachstum des Unterkiefers; unvollständiger Mundschluss; große Angst vor dem Zahnarzt; mäßige Zahnhygiene
Behandlungsverlauf:
Mit zwei modifizierten, offenen Aktivatoren wurde binnen Jahresfrist eine Vorverlagerung des Unterkiefers um ca. 8 mm und eine Ausformung der Zahnbögen erzielt. Die beiden Aktivatoren wurde 14 -16 Stunden (Nachmittags und Nacht) an den Werktagen und ganztägig (ca. 22h) an den Wochenenden und im Urlaub getragen.
Kontrolltermine in unserer Praxis erfolgten aller 6 bis 8 Wochen.
Kontrolltermine in unserer Praxis erfolgten aller 6 bis 8 Wochen.
Anfangsabdruck:



Schlussabdruck:




03 Distalbiss Normalbehandlung
Alter des Patienten:
11 Jahre bei Behandlungsbeginn
14 Jahre bei Behandlungsende
14 Jahre bei Behandlungsende
Behandlungsmethoden:
Komplikationen:
unvollständiger Mundschluss, Einlagerung der Lippe zwischen den Zahnreihen
Behandlungsverlauf:
Vorverlagerung des Unterkiefers und Ausformung der Zahnbögen mit modifizierten Aktivatoren und Bionatoren, Förderung des Wachstums des Unterkiefers bei gleichzeitiger Hemmung des Oberkiefers, Trageweise der Zahnspangen ca. 14 – 16 Stunden werktags (Nachmittags und Nachts), an Wochenenden und in den Ferien ganztags.
Kontrolltermine in unserer Praxis erfolgten aller 8 Wochen.
Kontrolltermine in unserer Praxis erfolgten aller 8 Wochen.
Anfangsabdruck:



Schlussabdruck:




04 Progene Verzahnung, Frontaler Engstand
Alter des Patienten:
13 Jahre bei Behandlungsbeginn
15 1/2 Jahre bei Behandlungsende
15 1/2 Jahre bei Behandlungsende
Behandlungsmethoden:
Normale feste Spange (Multibracket/Multibandapparatur), Aktivator (offen/funktionelles herausnehmbares Gerät)
Komplikationen:
Lückeneinengung für den Zahn 22 um ca. 4 mm
Behandlungsverlauf:
Lückenöffnung und Überstellung des Zahnes 22, sowie Ausformung der Zahnbögen des Ober- und Unterkiefers mit Multibracket/Multibandapparatur, Halten des Ergebnisses und Feineinstellung der Zähne mit modifizierten Aktivator, Trageweise der herausnehmbaren Zahnspangen ca. 14 – 16 Stunden werktags (Nachmittags und Nachts), an Wochenenden und in den Ferien ganztags.
Kontrolltermine in unserer Praxis erfolgten aller 6 - 8 Wochen.
Kontrolltermine in unserer Praxis erfolgten aller 6 - 8 Wochen.
Anfangsabdruck:



Schlussabdruck:




05 Lutschoffener Biss
Alter des Patienten:
8 Jahre bei Behandlungsbeginn
12 Jahre bei Behandlungsende
12 Jahre bei Behandlungsende
Behandlungsmethoden:
Aktivator (modifiziert/offen), Bionator, Normale feste Spange (Multibracket/Multibandapparatur), Miniplastschienen
Komplikationen:
Sprachbildungsstörungen durch Zungenfehllage, verspätete Zahnentwicklung
Behandlungsverlauf:
Abschirmung der Zähne und Nachentwicklung der Zahnbögen durch funktionskieferorthopädische Geräte mit Abschirmung der Zunge, Einstellung der Mittellinie, nach den Verzögerten Durchbruch aller bleibenden Zähne Ausformung der Zahnbögen des Ober- und Unterkiefers mit Multibracket/Multibandapparatur, Halten des Ergebnisses und Feineinstellung der Zähne mit Miniplastschienen, Trageweise der herausnehmbaren Zahnspangen ca. 8-10 Stunden wochentags und ganztägig am Wochenende
Kontrolltermine in unserer Praxis erfolgten aller 6 - 8 Wochen.
Kontrolltermine in unserer Praxis erfolgten aller 6 - 8 Wochen.
Anfangsabdruck:



Schlussabdruck:




06 Progener Zwangsbiss bei Nichtanlage 12
Alter des Patienten:
11 Jahre bei Behandlungsbeginn
14 Jahre bei Behandlungsende
14 Jahre bei Behandlungsende
Behandlungsmethoden:
Einzelspangen (herausnehmbar, im Unterkiefer mit „schiefer Ebene“), Normale feste Spange (Multibracket/Multibandapparatur), Miniplastschienen
Behandlungsverlauf:
Überstellung der Frontzähne über die Unterkieferzähne nach 2 Monaten, Ziehen eines Frontzahnes im Unterkiefer nach 1 Jahr 3 Monaten als Ausgleich für das überschießende Unterkieferwachstum zu diesem Zeitpunkt Beginn der Therapie mit einer festen Zahnspange im Unterkiefer zum Lückenschluss 6 Monate, danach Beginn der Multibandtherapie im zum Ausgleich der Bogenform und Anpassung an den Unterkiefer Tragedauer der Multiband im Unterkiefer 13 Monate, im Oberkiefer 11 Monate, Halten des Ergebnisses mit einer lockeren Nachtzahnspange 1 Jahr
Anfangsabdruck:



Schlussabdruck:




07 Rücklage des Unterkiefers bei gleichzeitiger Lückeneinengung für zwei Eckzähne
Alter des Patienten:
12 Jahre bei Behandlungsbeginn
14 1/2 Jahre bei Behandlungsende
14 1/2 Jahre bei Behandlungsende
Behandlungsmethoden:
Komplikationen:
erhöhte Aktivität des Kinnmuskels, Einlagerung der Lippe zwischen den Zahnreihen
Behandlungsverlauf:
Lückenöffnung für die beiden Eckzähne im Ober- und Unterkiefer links mittels fester Zahnspange, Vorverlagerung des Unterkiefers und Ausformung der Zahnbögen mit modifizierten (Lippenpelotten) Aktivatoren und Bionator, Förderung des Wachstums des Unterkiefers bei gleichzeitiger Hemmung des Oberkiefers, Trageweise der Zahnspangen ca. 14 16 Stunden werktags (nachmittags und nachts), an Wochenenden und in den Ferien ganztags.
Kontrolltermine in unserer Praxis erfolgten aller 6-8 Wochen.
Kontrolltermine in unserer Praxis erfolgten aller 6-8 Wochen.
Anfangsabdruck:



Schlussabdruck:




08 Schmaler Deckbiss bei Rücklage des Unterkiefers
Alter des Patienten:
11 Jahre bei Behandlungsbeginn
15 Jahre bei Behandlungsende
15 Jahre bei Behandlungsende
Behandlungsmethoden:
Aktivator (im Oberkiefer), Aktivator (elastisch, offen), Normale feste Spange (Multibracket/Multibandapparatur), Aktivator (zur Retention)
Behandlungsverlauf:
8 Monate ganztägig lockere Zahnspange zur Ausformung und Zurückdrängen der vorstehenden Zähne im Oberkiefer
1 Jahr und 5 Monate Nachentwicklung des Unterkiefers mit Beseitigung der Rücklage mittels Elastisch Offenen Aktivators bei 12-14stündiger Trageweise
1 Jahr und 11 Monate Feste Zahnspange zur Feineinstellung der Zähne
1 Jahr Halten des Behandlungsergebnisses durch offenen Aktivator bei nur nächtlicher Trageweise
1 Jahr und 5 Monate Nachentwicklung des Unterkiefers mit Beseitigung der Rücklage mittels Elastisch Offenen Aktivators bei 12-14stündiger Trageweise
1 Jahr und 11 Monate Feste Zahnspange zur Feineinstellung der Zähne
1 Jahr Halten des Behandlungsergebnisses durch offenen Aktivator bei nur nächtlicher Trageweise
Anfangsabdruck:



Schlussabdruck:




09 Vollständiger Lückenschluss für einen Eckzahn
Alter des Patienten:
14 Jahre bei Behandlungsbeginn
17 Jahre bei Behandlungsende
17 Jahre bei Behandlungsende
Behandlungsverlauf:
5 Monate Wilsontechnik
1 Jahr und 5 Monate komplette Multibandtechnik im Ober- und Unterkiefer
1 Jahr Retention
1 Jahr und 5 Monate komplette Multibandtechnik im Ober- und Unterkiefer
1 Jahr Retention
Anfangsabdruck:



Schlussabdruck:




10 Schmalkiefer mit lückiger Protrusion bei Rücklage des Unterkiefers um 8 mm
Alter des Patienten:
10 Jahre bei Behandlungsbeginn
15 Jahre bei Behandlungsende
15 Jahre bei Behandlungsende
Behandlungsmethoden:
Aktivator, Einzelspangen (Oberkiefer / herausnehmbare aktive und funktionelle Geräte)
Behandlungsverlauf:
Primär Oberkieferdehnplatte
anschließend funktionelle Therapie mit Aktivatoren bei 14-16stündiger Trageweise in der Woche, an Wochenenden und in den Ferien ganztags
zeitweise Unterbrechung beim Zahnwechsel
Halten des Behandlungsergebnisses mit herausnehmbarer Nachtzahnspange 1 Jahr und 7 Monate
anschließend funktionelle Therapie mit Aktivatoren bei 14-16stündiger Trageweise in der Woche, an Wochenenden und in den Ferien ganztags
zeitweise Unterbrechung beim Zahnwechsel
Halten des Behandlungsergebnisses mit herausnehmbarer Nachtzahnspange 1 Jahr und 7 Monate
Anfangsabdruck:



Schlussabdruck:




11 Distalbiss bei erwachsenem Patienten mit verlagerten Eckzahn und Kreuzbiss
Alter des Patienten:
18 Jahre bei Behandlungsbeginn
20 1/2 Jahre bei Behandlungsende
20 1/2 Jahre bei Behandlungsende
Behandlungsmethoden:
Normale feste Spange (Multibracket/Multibandapparatur), Miniplastschienen
Komplikationen:
Abgeschlossenes Längenwachstum, Reteniert und Verlagerter Eckzahn (13), Kreuzbiss
Behandlungsverlauf:
Implantat getragene Distalisation der Seitzähne im Oberkiefer. Dehnung des Oberkiefers zur Überstellung des Kreuzbisses mit festsitzenden Zahnspangen – 1 1/2 Jahre. Freilegung des bleibenden Eckzahnes (13) und Extraktion vom Milchzahn. Ausformung des Zahnbogens und Lückenschluss. Nachentwicklung des Unterkiefer und Ausgleich der Bisslage durch die Zähne (dentale Kompensation) ca. 1 Jahr
Stabilisation des Behandlungsergebnisses mit herausnehmbaren Zahnschienen ca. 12 Monate.
Kontrolltermine in unserer Praxis erfolgten aller 6 bis 8 Wochen.
Stabilisation des Behandlungsergebnisses mit herausnehmbaren Zahnschienen ca. 12 Monate.
Kontrolltermine in unserer Praxis erfolgten aller 6 bis 8 Wochen.
Anfangsabdruck:



Schlussabdruck:




12 Beidseitiger Kreuzbiss, Stark gekippte Backenzähne
Alter des Patienten:
42 Jahre bei Behandlungsbeginn
44 Jahre bei Behandlungsende
44 Jahre bei Behandlungsende
Behandlungsmethoden:
Normale feste Spange (Multibracket/Multibandapparatur), Miniplastschienen (passive herausnehmbare Geräte)
Komplikationen:
Knochen- und Zahnfleischschwund, teilweise Lockerung von Zähnen
Behandlungsverlauf:
Überstellung der im Kreuzbiss verharkten Zähne, Aufrichtung der gekippten Backenzähne im Unterkiefer, sowie Ausformung der Zahnbögen des Ober- und Unterkiefers mit Multibracket/Multibandapparatur, Halten des Ergebnisses und Feineinstellung der Zähne mit Miniplastschienen, Trageweise der herausnehmbaren Zahnspangen ca. 8-10 Stunden
Kontrolltermine in unserer Praxis erfolgten aller 6 - 8 Wochen.
Kontrolltermine in unserer Praxis erfolgten aller 6 - 8 Wochen.
Anfangsabdruck:



Schlussabdruck:




13 Progener Zwangsbiss bei engstehender Oberkieferfront
Alter des Patienten:
58 Jahre bei Behandlungsbeginn
60 Jahre bei Behandlungsende
60 Jahre bei Behandlungsende
Komplikationen:
unvollständiger Mundschluss, Einlagerung der Lippe zwischen den Zahnreihen
Behandlungsverlauf:
nach 4 Monaten Überstellung der Front bei Kombination lockere Zahnspange im Unterkiefer und teilweiser Multiband/Multibrackettherapie im Oberkiefer,
1Jahr und 4 Monate Multibandtherapie im Oberkiefer,
1 1/2 Jahre Halten des Behandlungsergebnisses mit lockeren Zahnspangen bei nächtlicher Trageweise
1Jahr und 4 Monate Multibandtherapie im Oberkiefer,
1 1/2 Jahre Halten des Behandlungsergebnisses mit lockeren Zahnspangen bei nächtlicher Trageweise
Anfangsabdruck:



Schlussabdruck:




14 Progener Zwangsbiss Erwachsener
Alter des Patienten:
38 Jahre bei Behandlungsbeginn
40 Jahre bei Behandlungsende
40 Jahre bei Behandlungsende
Behandlungsmethoden:
Normale feste Spange (Ober- und Unterkiefer), Miniplastschienen (locker, Ober- und Unterkiefer zum Halten des Behandlungsgebisses)
Behandlungsverlauf:
12 Monate Multiband/Multibrackettherapie im Oberkiefer
5 Monate Multiband/Multibrackettherapie im Unterkiefer,
Halten des Behandlungsergebnisses 1 1/2 Jahre mit zwei
lockeren Zahnspangen bei nächtlicher Trageweise
5 Monate Multiband/Multibrackettherapie im Unterkiefer,
Halten des Behandlungsergebnisses 1 1/2 Jahre mit zwei
lockeren Zahnspangen bei nächtlicher Trageweise
Anfangsabdruck:



Schlussabdruck:




15 Bialveoläre Protrusion
Alter des Patienten:
58 Jahre bei Behandlungsbeginn
60 Jahre bei Behandlungsende
60 Jahre bei Behandlungsende
Behandlungsmethoden:
Normale feste Spange (Multibracket/Multibandapparatur), Miniplastschienen
Komplikationen:
Überweisung durch den behandelnden Zahnarzt auf Grund von zunehmender Lückenbildung in Bereich der Front- und Seitenzähne, durch Zahnstellung Unvermögen des Mundschlusses, starker Knochenabbau
Behandlungsverlauf:
Lückenschluss und Zurückführen der nach vorn gewanderten Zähne erst im Unterkiefer, dann im Oberkiefer mit festsitzenden Zahnspangen – 1 1/2 Jahre,
Stabilisation des Behandlungsergebnisses mit herausnehmbaren Zahnschienen ca. 12 Monate.
Kontrolltermine in unserer Praxis erfolgten aller 6 bis 8 Wochen.
Zahnärztlich prothetische Versorgung der Restlücken im Ober- und Unterkiefer im Seitzahngebiet
Stabilisation des Behandlungsergebnisses mit herausnehmbaren Zahnschienen ca. 12 Monate.
Kontrolltermine in unserer Praxis erfolgten aller 6 bis 8 Wochen.
Zahnärztlich prothetische Versorgung der Restlücken im Ober- und Unterkiefer im Seitzahngebiet
Anfangsabdruck:



Schlussabdruck:



